Kevin Spacey est « confiant » qu’il effacera son nom après avoir été accusé de quatre chefs d’agression sexuelle. L’ancienne star de…
Auteur/autrice : Mathias Gerdy
La nageuse trans Lia Thomas s’est ouverte sur les critiques sévères concernant les femmes trans qui participent à des sports.…
Le monde du sport n’est pas étranger à la politique. Et au milieu des appels renouvelés à une action urgente…
Olly Alexander a déclaré qu’il n’allait jamais « se taire » sur le fait d’être gay dans une nouvelle interview. Depuis ses…
La star d’Euphoria, Hunter Schafer, a dénoncé une boîte de nuit allemande pour discrimination anti-trans. Le 28 mai, l’actrice ouvertement…
Lia Thomas, ancienne nageuse de l’Université de Pennsylvanie. (Rich von Biberstein/Icon Sportswire via Getty Images) La nageuse trans Lia Thomas…
Avouons-le, la fierté de cette année arrive à un moment où de nombreux membres de notre communauté ressentent un sentiment…
Married at First Sight UK devrait accueillir son tout premier couple de lesbiennes lors de la septième saison à venir…
Par Lisa Richwine LOS ANGELES (Reuters) – Les jurés envisageant des poursuites judiciaires opposées intentées par Johnny Depp et Amber…
Spoilers à venir pour la dernière saison de Stranger Things. La quatrième saison de Stranger Things est arrivée sur Netflix…
Les patrons du NHS auraient «bloqué» la publication de conseils de santé pour les femmes enceintes trans et non binaires…
Jodie Lancet-Grant, mère lesbienne et auteur pour enfants, a publié son nouveau livre pour enfants, The Marvelous Doctors For Magical…
La chanteuse et rappeuse Ashley Gray s’est révélée transgenre via une vidéo publiée sur son compte personnel TikTok. Participant à…
Bénédiction La star Jack Lowden dit que « tirer parti de l’insécurité que nous avons tous en tant qu’acteurs » l’a aidé…
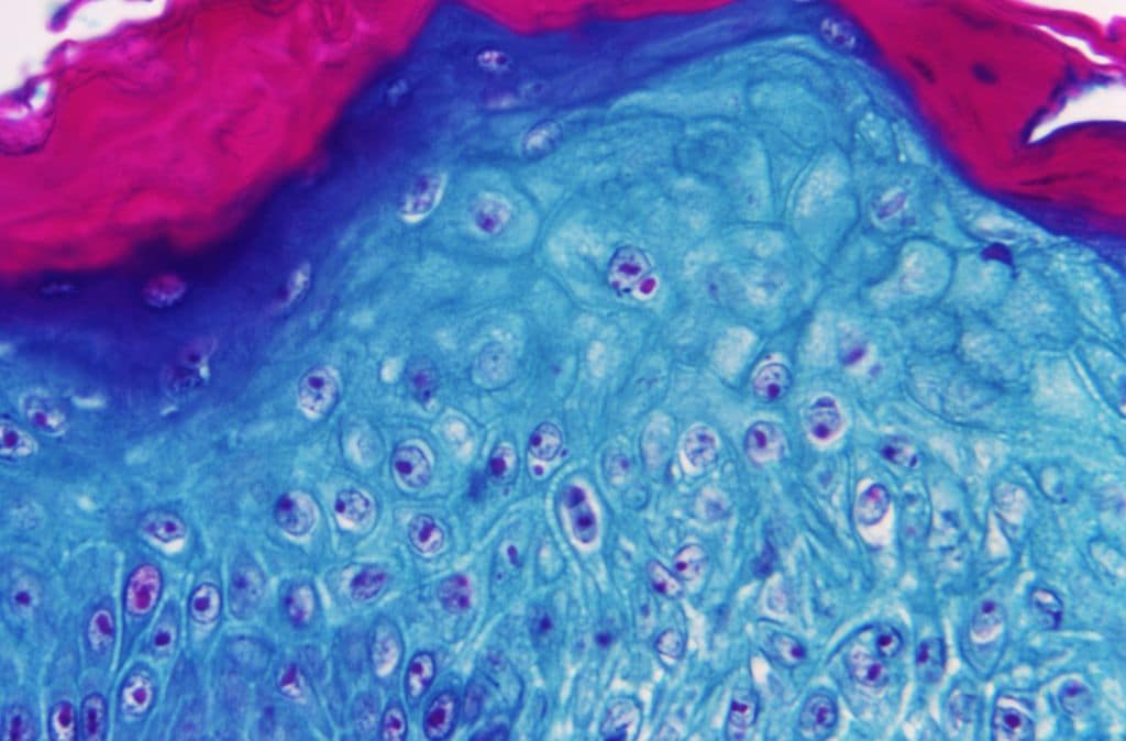
Sous un grossissement au microscope de 500X, cette image représentait une section de tissu cutané, récoltée à partir d’une lésion…
Quand Elliot Page est sorti trans en décembre 2020, il a annoncé que ses pronoms préférés étaient « il » et « ils ».…
La guerre a ravagé la région orientale du Donbass, y compris cette école de la ville de Bakhmut Kramatorsk (Ukraine)…
WNBA Brittney Griner en Russie (Getty Images/ Christian Petersen/Russia State TV) La star de la Women’s National Basketball Association (WNBA)…
DAKAR, SÉNÉGAL – 11 NOVEMBRE 2019 : personnes travaillant et circulant dans la capitale sénégalaise.Photo : Shutterstock Trois hommes ont…
Un policier se tient près du mémorial de fortune pour les victimes de la fusillade à l’extérieur de l’école élémentaire…
Julio Ramirez a été retrouvé mort à l’arrière d’un taxi après avoir quitté un bar gay à Manhattan, New York,…
Margaret Thatcher. (Getty) Une statue de Margaret Thatcher a de nouveau été vandalisée deux semaines après avoir été emportée. La…
Isaiah Rashad s’est révélé publiquement sexuellement fluide. Le rappeur américain de 31 ans, surtout connu pour sa collaboration Wat’s Wrong…
Le gouverneur de l’Indiana, Eric Holcomb (R), prête sermentPhoto: Bureau du gouverneur de l’Indiana La législature de l’Indiana a voté…
L’actuelle gouverneure de New York, Kathy Hochul, a confirmé que l’État permettra bientôt aux résidents de choisir « X » comme marqueur…
Par Arathy Somasekhar HOUSTON (Reuters) – Des manifestants tenant des pancartes et des croix avec des photos de victimes de…
L’ancien président Donald Trump a déclaré au Wyoming que les enseignants ne devraient pas « enseigner aux transgenres ». Chet étrange/Getty Images)…
Voici une image fixe d’une mise en place par les forces de sécurité russes pour piéger un Ukrainien de haut…
De Michael Holden LONDRES (Reuters) – Alors que presque toute l’attention sera concentrée la semaine prochaine sur la reine Elizabeth…
Les New-Yorkais non binaires auront bientôt la possibilité de choisir un marqueur de genre X sur les documents d’identité délivrés…



























